|
1月12日 “女子硬扛流感10天白肺” 相关话题冲上热搜 引发关注 
据荔枝新闻报道 江苏51岁的陈女士 近日不幸患上流感 可她没去医院看病 硬扛了10多天后 在挂水时突然昏倒 
经CT检查 因肺部感染多种病毒 陈女士已经发展成重症肺炎 肺功能基本丧失 严重呼吸衰竭 随时有生命危险 
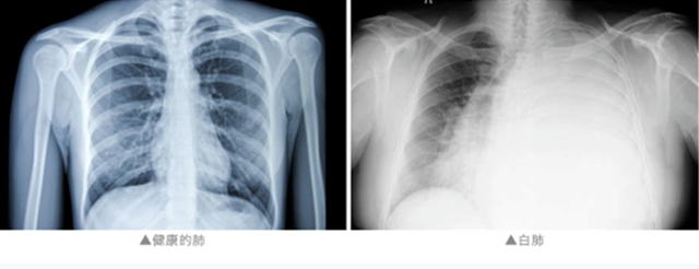
医生介绍 陈女士因基础病免疫力偏低 得了流感后硬扛 大大增加了致病真菌的感染风险 最终导致白肺 通常来说 “白肺”是指急性呼吸窘迫综合征 主要发生在重症感染时 双肺弥漫性病变进展迅速 其症状和严重程度 都与支原体肺炎不同 
继甲流后 乙流成为关注焦点 国家流感中心发布的 最新一期《流感监测周报》显示 近期,甲流比例明显下降 乙流占比有所上升 如何应对乙流? 你关心的问题都在这里↓↓↓
甲流和乙流究竟有何区别? 流行性感冒,简称“流感” 流感病毒分为甲、乙、丙、丁四型 乙流,就是由乙型流感病毒 引起的流行性感冒 潜伏期多为1—4天 医生表示 乙流和甲流在临床症状上 没有太大的区别 均表现为发热、头痛、关节肌肉痛等 有的病人可能出现咽痛、咳嗽、胸闷等 乙流通常以小规模或散发为主 因此,乙流占比上升不必过于担忧 
感染乙流后会发展成肺炎吗? 医生表示 无论是甲流还是乙流 严重的病人都可能出现 类如肺炎、心肌炎 或神经系统的并发症的表现 由于大多数病人就诊较早 因此发生合并肺炎的病人并不多 比例在10%以下
甲流和乙流会同时感染吗? 医生表示,确实遇到过 同时感染甲流和乙流的病人 以及感染甲流后又感染乙流的病人 这是因为 甲流和乙流是流感的两种亚型 二者存在一定差异 因此感染甲流并不能对乙流 产生完全的交叉免疫 感染甲流或乙流后 如果患者体质相对弱 依然有可能感染 另一种亚型的流感病毒 
如何预防流感? 第一招:打疫苗 接种流感疫苗 是预防流感最有效的手段 可显著降低接种者 发生严重并发症的风险
第二招:做防护 勤洗手,避免用脏手触摸眼、鼻或口 每日开窗通风至少3次 每次不少于30分钟 另外,在流感流行季节 60岁及以上老人、5岁以下儿童 孕妇以及患有基础性疾病的患者等 尽量避免去人群聚集场所 如必须前往,建议佩戴口罩 
感染乙流如何用药? 乙流由病毒引致 而平常用的 青霉素、头孢等抗生素 是针对细菌的药 对乙流无效 因此不建议一发烧 就擅自用抗生素 应及时就医 按医嘱规范治疗 
来源:中国青年报、荔枝新闻、央视新闻客户端、健康中国 责任编辑:赫兹 校审:神小丢 终审:文心一刀
|